Els nous avenços en hematologia gràcies a la intel·ligència artificial
La detecció precoç i els tractaments es poden veure beneficiats gràcies al treball conjunt entre màquines i humans

Leucèmia mieloide crònica, mieloma i càncer de còlon i recte, entre els que més milloren la supervivència / EPE
Rafa Sardiña
Les noves tecnologies aporten grans avenços per a la medicina. El treball conjunt entre la IA i la ment humana estan fent que comencin a aparèixer nous tractaments per a malalties fins ara impossibles d'erradicar. En aquest cas, et venim a explicar com ha ajudat a millorar en el sector de l'hematologia.
I és que, tot i que el futur és "incert", és molt difícil saber com canviarà el paradigma d'aquests tipus de càncers, com explica a aquest diari el doctor Jesús Maria Hernández Rivas, de l'Hospital Universitari de Salamanca, durant el Congrés de la Societat Espanyola d'Hematologia i Hemoteràpia (SEHH), que es va celebrar entre el 9 i l'11 d'octubre a Oviedo. "En els darrers anys, s'ha vist una evolució molt ràpida i és complicat veure cap a quin model es dirigeix tot això".
Tot i això, l'hematòleg deixa clar que "el desenvolupament de la IA és molt rellevant i que és una eina totalment necessària". No només serà fonamental per als malalts, sinó també per als especialistes. "Com tota novetat, sempre suscita cert recel, incertesa i fins i tot temor, por de perdre la feina o de perdre el control. Però al final ens beneficiarà a tots. I de fet, ja ens està beneficiant".
El paper de la intel·ligència artificial en l'hematologia
Avui dia, hi ha moltes aplicacions d'intel·ligència artificial que s'utilitzen a les consultes que tracten els càncers de sang —segons la previsió de la SEHH, l'any que ve es diagnosticaran 27.929 nous casos de neoplàsies hematològiques a Espanya—, sobretot com a ajuda per diagnosticar.
Un suport que complementa la mirada humana, que també és importantíssima per evitar errors
Principalment, aquest tipus d'eines són un suport en tècniques d'imatge: interpretació radiològica i fins i tot imatges microscòpiques. "Això no vol dir que els metges no hagin de posar el seu granet de sorra", aclareix el doctor Hernández Rivas.
"La IA és una ajuda, un suport que complementa la mirada humana, que també és importantíssima per evitar errors. Al camp de l'hematologia, com a la resta d'especialitats, també s'està notant ja la seva influència"
"Una de les primeres aplicacions tenia a veure precisament amb la interpretació automatitzada d'hemogrames i l'anàlisi de cèl·lules canceroses". No són eines generatives com ara, per exemple, ChatGPT, sinó específiques per al camp de la medicina.
Clau per analitzar moltes dades
En el cas de les malalties hematològiques, permet analitzar les imatges de manera més precisa i detectar detalls "que poden passar desapercebuts a l'ull humà, d'una manera diferent, encara que no vol dir que estigui suplantant els humans ni de bon tros". Aporta informació valuosa que pot orientar millor el diagnòstic.

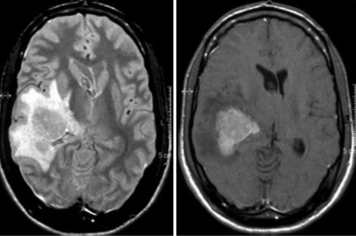
Limfoma cerebral, en una imatge d'arxiu / EPE
A més, com que moltes d'aquestes patologies són hereditàries, "ajuden a organitzar i interpretar enormes volums d'informació que abans eren impossibles de manejar". Abans s'utilitzen algorismes, però “menys robustos que la intel·ligència artificial actual”.
Tot i això, el doctor aclareix que l'arribada de la intel·ligència artificial generativa ha suposat "un salt important", ja que els permet la interacció i el diàleg, tant amb pacients com amb metges.
Recentment, s'ha presentat una eina capaç d'analitzar longitudinalment les històries clíniques, i fins i tot permet dialogar amb el sistema: preguntar per què ens dona una determinada dada o d'on prové una recomanació. "Això suposa un gran avenç respecte a les versions anteriors, que només manejaven informació estàtica".
Tindrem resultats i coneixement gairebé en temps real
I ajudarà a curt termini a diagnosticar millor, prevenir l'aparició de malalties i fins i tot dissenyar tractaments personalitzats? El doctor confia “plenament” que sí. I ho compara amb la fotografia. "Fa 25 anys un havia de revelar un rodet per veure una foto, avui, la imatge és instantània. Amb la IA passarà una cosa semblant: tindrem resultats i coneixement gairebé en temps real".
Actualment, ja s'està veient en el desenvolupament de medicaments. "Ja hi ha eines que són capaces d'analitzar, dissenyar i cercar una proteïna capaç de bloquejar una determinada acció que està causant una malaltia". Després, evidentment, a la pràctica clínica serà diferent perquè cal "comprovar que funciona en el pacient i no té efectes secundaris".
- La Generalitat urgeix a tenir un kit d'emergències a casa per sobreviure 72 hores
- L'Hostal de la Granota, un restaurant aturat en el temps
- Un home dispara a dos lladres que entren a casa seva a Empuriabrava
- Preocupació a Sant Joan de les Abadesses per la presència d'okupes a l’antiga fàbrica Espona
- Un caçador de 64 anys mor a Cervera pel tret d'una escopeta d'un company
- «El meu palmarès empresarial és molt més bo que l’esportiu»
- Un dels menors atropellat en l'accident de Llambilles segueix ingressat al Trueta
- Un xoc entre dos cotxes acaba amb destrosses a una immobiliària a Banyoles